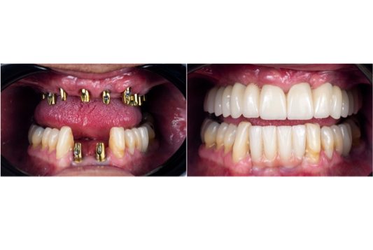
Implants

Osseointegrated dental implants are the state of the art in modern dentistry.
Implants provide additional support where teeth are missing without putting force onto the remaining natural teeth.
  • Number of visits
  • 3
  • Prices from
  • £2000
Implant therapy means that a small screw-like unit made of Titanium fits in the jawbone and when the screws have anchored to the jawbone, permanent teeth (crown, bridge or a denture) that is custom designed, shaded to aesthetically suit each patients distinctive facial requirements are then built and connected to the screws.

They may be used to support the replacement of a single missing tooth or a complete set for persons who have lost many or all of their teeth.

Implant therapy is especially suitable for those who have lost all their teeth as it can improve their life stile and give them a better self-confidence. Sophisticated research for over thirty years has shown that titanium is compatible with the human body and studies have shown that patients previously treated with these osseointegrated implants continue to enjoy healthy stable smiles. There are no age limits as dental implants can range from age 9 to 99.