Veneers

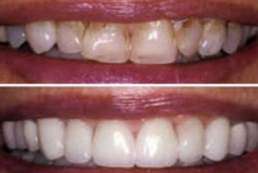
Dental veneers (sometimes called porcelain veneers or dental porcelain laminates) are wafer-thin, custom-made shells of tooth-coloured materials designed to cover the front surface of teeth to improve your appearance.
These shells are bonded to the front of the teeth changing their colour, shape, size or length like a false fingernail.
  • Number of visits
  • 2
  • Prices from
  • £400

Dental veneers can be made from porcelain or from resin composite materials. Porcelain veneers resist stains better than resin veneers and better mimic the light reflecting properties of natural teeth.

Resin veneers are thinner and require removal of less of the tooth surface before placement. Porcelain veneers are permanently bonded, held in place by a special resin that adheres the back of the veneer to the front of the tooth. The finished result is extremely strong and durable. Though veneers are not suitable for every patient, they are a cosmetic alternative for a variety of dental conditions affecting the front teeth, including:

  • Closing diastemas (spaces between the teeth)
  • Restoring broken or chipped teeth
  • Covering unsightly, stained or washed out fillings
  • Whitening permanently stained or discolored teeth
  • Correcting uneven or crooked teeth

There are many benefits and advantages to having porcelain veneers applied to your front teeth. These may include any or all of the following considerations:

  • Only a small amount of natural tooth structure (if any) is removed during the procedure.
  • A healthy, natural look is achieved with little or no discomfort.
  • Veneers are often less expensive than alternative procedures.
  • Veneers are strong, durable and colour-stable.

The decision to enhance one’s smile with porcelain veneers is a personal one. A subtle change in one’s smile can make an exceptional difference in looks and self worth and social outlook. There`s no question that a beautiful smile goes a long way toward improving self confidence in both personal and professional circles.